成城の歯科医院 ファーストデンタルクリニックの平澤です。
今回は定期健診にいらして下さっている30代男性に見つかった意外な物のお話です。
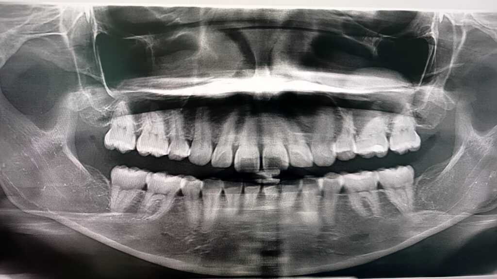
この患者さん定期健診に来て下さっているのですが、1年ぶりにレントゲンを撮ってみることになりました。
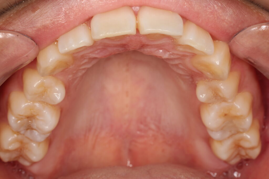
お口の中はとてもきれいな状態です。

撮ってみたレントゲンですが、一見きれいなように見えるのですが、
左の上顎洞に怪しげな影が見えます。

怪しげな影とはここのところです。
しかも、隣接した歯にもわずかに影があるような。。。

健康意識の高い患者さんだったので、CTを撮ってみることにしました。
すると。。

ななんと、上顎洞内に嚢胞とも思われる炎症の跡がありました。
結構大きいもので直径3センチぐらいはありそうです。

歯に原因がありそうなので精密検査してみることに

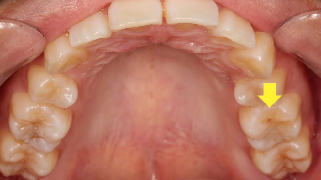
この歯ですが表面的には異常はありません。
しかし怪しい影の原因になっているのは明らかなので、古いプラスチックの詰め物を取ることに。
すると内部にはレントゲンにも映らないように慢性の虫歯が残っていました。
定期健診のレントゲン検査で見つかったものの原因はこれだったのです。

さらに精査すると歯の神経も半分は生きていたのですが、残り半分は既に死んでおり腐った状態でした。
今後は神経治療をしながら、上顎洞内の影が消えていくか経過を見ていきたいと思います。
この患者さんは無症状でこのような状態になっていました。
また1年前のレントゲンにも異常はありませんでしたので、定期的なレントゲン検査は必要だと思います。



